扫码购买正式版题库

  • 海量题库
  • 全真模拟
  • 专项训练
  • 预测试题
  • 押题密卷
  • 错题强化

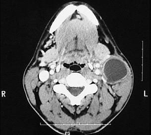
图示是鳃裂囊肿患者的CT 检查结果,关于此病的描述错误的是 ( )

单选题
图示是鳃裂囊肿患者的CT 检查结果,关于此病的描述错误的是  (    )

A可形成瘘

B可继发感染

C大小不定,生长缓慢

D无自觉症状

E触之有搏动感

最新更新

易过题库在线搜题

热门题库